


Safe global cell transport with active CO₂ and temperature control – powered by Cellbox™.

Whether you're moving delicate cell cultures across your campus or shipping organoids halfway around the world — that's exactly why we developed the Cellbox™: a portable CO₂ incubator designed to maintain stable temperature and gas conditions in transit.
In this section, you’ll find real-world examples of how Cellbox™ supports live transport for various biological applications — from iPSC cultures and hydrogel matrices to 3D cell systems and organ-on-a-chip models.
We update this page regularly with new use cases from labs, clinics, and biotech teams worldwide.
User Cases
Making Live Cell Transport Work –
Every Day
The effectiveness of live cell shipment in the large scale production of liver spheroids for drug screening
» "...shipping the spheroids live in the Cellbox™ CO₂ incubator ensures optimal growth conditions..." «
In vitro maturation in a portable CO₂ incubator supports optimal embryo development
» ...confirming that the Cellbox™ supports oocyte maturation and embryo development at good rates.. «
How altered gravity affects cellular response to drugs
» Our imaging experiments were successful, showing confluent and viable cells responding to adrenergic stimulation «
Sensory neurons as in vitro models for neurological disorders and neuropathic pain
» The Cellbox™ provides a highly reliable tool for live transport ...of stem cell populations ... «
Transporting HUMIMIC Chip2 based Blood-Brain-Barrier Model
» Cellbox™ provides a unique solution in terms of cell transport logistics: (...) «
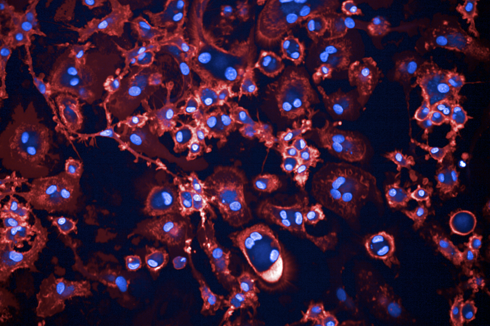
Live Cell Imaging of immortalized osteosarcoma cell line using the Leica Stellaris 8 TauSTED
» ... the cells were examined under the microscope as confluent, viable and with vibrant activity. «


Parabolic Flight:
Organoids in Microgravity

A successful parabolic flight cell experiment from the Mechanobiology Institute, Singapore - an interview with Assistant Professor Gianluca Grenci about his and Assistant Professores Anne Begin research using our portable incubator and its significant impact on their study.
The Team used their ZeroG Well technology to improve organoid growth in microgravity.
TUMORS IN SPACE
Zero Gravity - Maximum (Cell) Quality
Our Colleagues had the honor to not only transport patient derived colon cancer organoids from HUB Organoids across Europe, but also participating on the European Space Agency - ESA 83rd Parabolic Flight Campaign with Novespace for microgravity research #TumorsInSpace lead by Principal Investigator Tricia L. Larose. Funded by European Space Agency - ESA with the support of Norwegian Space Agency.
Thank you Tricia L. Larose. for your continuous support and trust in our technology!
Our Cellbox™ Shipper has successfully delivered optimal lab-standard incubation conditions (37°C and 5% CO2) - providing Maximum Quality at Zero Gravity!
IPSCS
AND IPSC-DERIVED CELLS
Do your iPSC’s or iPSC-derived cells need to get around? Would you like to transport them over the campus, to another city or even another country? Are you facing unacceptable losses in quality when receiving cells from a collaborating working group, manufacturer or other scientific partner? Meet your solution – The Cellbox™ portable CO2 incubator. Specially developed for the transport of sensitive cells and cell cultures, the Cellbox is ideal for iPSC-derived cells, such as sensory neurons, microglia and cardiomyocytes.


Life Science workflows and -research demand high reproducibility and consistent results. Don’t settle for losses in cell quality, cell viability and valuable time introduced by freeze-thaw cycles that are a routine part of cryogenic-shipping. Transport your iPSC’s and iPSC-derived cells under laboratory conditions, in the Cellbox™, and avoid unwanted changes in metabolism, gene expression and protein profiles. Validated and trusted by our users, the Cellbox™ will prevent unintended differentiation steps and maintain the physiological functions of the iPSC and iPSC-derived cells during every journey.
Say YES to healthy & assay-ready cells >
Biobanking
AND LONG-TERM STORAGE OF CELLS


Would you like to receive cells and cell cultures for biobanking and long-term cell storage? Do you face challenges when thawing and recovering material from biobanks?
The Cellbox™ allows sending and receiving fresh cells and cell cultures under tightly regulated and well documented incubation conditions. As a biobank you can benefit from receiving fresh material and performing the cryopreservation in-house. Recipients can benefit from the Cellbox™ by receiving thawed and recovered cells from a biobank, ready-to-use.
Biobanks play a central role in biotech and life science research by safeguarding and preserving biological material for the future. The quality and viability of the material following storage are however highly dependent on the cryopreservation protocol and eventual thawing procedure. Variation in the cryopreservation pipeline can be avoided, by receiving cells fresh and performing all processing and documentation steps in-house. Cells can be thawed, many years later, recovered and delivered in a fresh and documented fashion to the end-user.
Say YES to high quality ready-to-use cells >
LAB-ON-A-CHIP
AND TISSUE-ON-A-CHIP
Your product is cell-based and needs to be shipped in a ready-to-use format? You would like to seed your Lab-on-a-Chip or Tissue-on-a-Chip products with cells before shipping them? You would like to send or receive ready-to-use microfluidic chip systems? Meet your solution – The Cellbox™ portable CO2 incubator. The ideal alternative when cryopreservation and cryogenic-shipping is not possible. Simply seed microfluidic chips with living cells and ship them under laboratory conditions in the Cellbox™. Organ-on-a-chip technologies are quickly gaining traction as an alternative to animal testing.
The benefits are obvious, because these systems offer an in-vitro testing environment that closely mimics in vivo physiological conditions. The higher complexity of these systems however results in no to low compatibility with cryogenic preservation and temperature-controlled shipping. Break down these geographical barriers and ship your microfluidic chip systems worldwide in the Cellbox™.
Say YES to ready-to-use Organ-on-a-Chip systems >


APPLICATION EXAMPLES
BIO ASSAYS
• Lab-on-a Chip
• Organ-on-a-Chip
• On-site/In-the-field experiments
• Cell Toxicity Tests
• Microfluidics
CELL STORAGE
• Cell Bank
• Cryo Banks
MANUFACTURING CELLS
• Primary Cell Cultures
• Stem Cells
3D-CELL CULTURE
• Tissue Engineering
• Organoids
• 3D-Bioprinting
QUESTIONS?
QUESTIONS?
Get in touch and learn how the Cellbox™ can minimize your challenges and maximize your supply chain output.

Senior Director Business & Corporate Development, EMEA/APAC